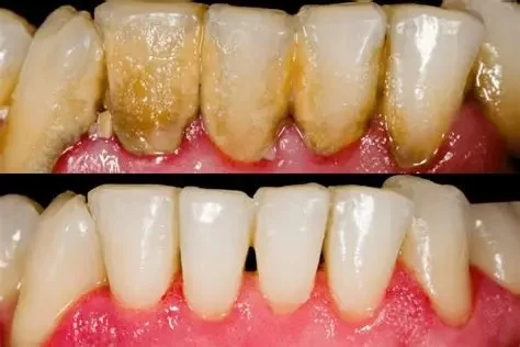
Importance of Oral Hygiene for Healthy Teeth and Gums
Will Bad Oral Hygiene Cause Recurring Strep? Causes, Symptoms, and PreventionLearn how bad oral hygiene can contribute to recurring strep throat. Discover the connection between oral health and infections, and get tips on preventing strep throat through proper oral care.
Can You Get Tonsil Stones with Good Oral Hygiene?Can you get tonsil stones with good oral hygiene? Discover the connection between oral health and tonsil stones, tips to prevent them, and how they form even with a clean mouth.
Can You Get Gum Disease with Good Oral HygieneCan you get gum disease with good oral hygiene? Learn the surprising truth, risk factors, expert tips, and prevention strategies with guidance from Family Dentistry Online.
Why Is Oral Hygiene So Important for Your Overall HealthLearn why oral hygiene is so important for your health. Explore detailed tips, real stories, expert advice, and Family Dentistry Online recommendations for better dental care.
How to Make My Oral Hygiene Better with Simple Daily HabitsDiscover how to make your oral hygiene better with practical tips, daily habits, and expert advice. Learn how to keep your teeth and gums healthy with guidance from Family Dentistry Online.
How to Give Oral Hygiene Instruction for Better Dental HealthLearn how to give oral hygiene instruction effectively. Explore tips, real examples, and expert advice to improve dental health. Trusted guidance from Family Dentistry Online.
Do's and Don'ts for Oral Hygiene: Tips for a Healthy SmileDiscover the essential do's and don'ts for oral hygiene, including expert dental care advice, common mistakes to avoid, and tips for maintaining a healthy smile every day.
- What Diseases Are Caused by Poor Oral Hygiene Explained Clearly
Discover what diseases are caused by poor oral hygiene, including gum disease, cavities, and heart risks. Learn prevention tips and find trusted care at Family Dentistry Online.
- Why Hygiene Matters for Oral Intimacy and Attraction
Discover why hygiene plays such a crucial role in oral intimacy and attraction. Learn how good oral care builds confidence, prevents health issues, and strengthens relationships.
- How to Buy Florassist Oral Hygiene for Better Dental Health
Learn how to buy Florassist Oral Hygiene, its benefits for dental health, and expert guidance to make the right choice. Trusted insights from Family Dentistry Online.
- Who Wrote Rules for Oral Hygiene and Why They Still Matter Today
Discover who wrote the rules for oral hygiene, how dental care practices evolved, and why oral health guidelines remain vital today. Learn expert insights with Family Dentistry Online.
- Why Do I Have Bad Breath With Good Oral Hygiene?
Learn why you might have bad breath even with good oral hygiene. Explore common causes and solutions for persistent bad breath to improve your confidence and health.
Categories
Popular Dental Clinics
Arise Dental - Your Local Peoria Dentist4.0 (205 review)
Light Dental Studios of University Place4.0 (279 review)
Dentists of South Pasadena4.0 (124 review)
Aurora Dental Care4.0 (153 review)
ClearChoice Dental Implant Center4.0 (383 review)
Kansas City Dentures and Implants5.0 (15 review) Top Dental Blog Posts
Most Searched Dental Clinics
Hot Blog Topics
The Importance of Oral Health Education During Pregnancy for a Healthy Pregnancy
Best Tips for Brushing Your Teeth Properly for Healthy Gums: Essential Techniques for Oral Health
Why Skipping Dental Checkups Can Lead to Bigger Oral Health Problems
Advantages of Porcelain Dental Restorations
How Can Diabetes Cause Tooth and Gum Problems? Preventing and Managing Oral Health Issues
Healthy Habits for Promoting Good Oral Health and Hygiene: Tips for a Healthy Smile 
