Importance of Oral Hygiene for Healthy Teeth and Gums
What Is Oral Hygiene According to WHO? Understanding Global Dental Health StandardsLearn what oral hygiene means according to WHO, why it’s essential for global health, and how good dental practices can improve your overall well-being. Expert insights from Family Dentistry Online.
What Is Oral Hygiene and Why It Matters for AmericansLearn what oral hygiene is, why it’s vital for your health, and how to maintain a healthy mouth. Explore expert oral care insights from Family Dentistry Online designed for U.S. adults.
How Often Should I Floss to Maintain Good Oral Hygiene? Expert Dental GuideLearn how often you should floss to maintain good oral hygiene, prevent gum disease, and keep your smile healthy. Expert dental advice from Family Dentistry Online.
What Is Considered Good Oral Hygiene and How to Maintain ItLearn what is considered good oral hygiene and how to maintain it through daily habits, professional care, and lifestyle choices. Explore expert dental advice from Family Dentistry Online for a brighter, healthier smile.
What Order to Do Oral Hygiene: The Best Routine for Healthy TeethLearn the ideal order for brushing, flossing, and mouthwash use to maximize your oral hygiene. Discover dentist-backed tips and real-life stories for a cleaner, healthier smile. Visit Family Dentistry Online for personalized dental care recommendations.
Effective Oral Hygiene Measures for Healthy Teeth and GumsLearn the most effective oral hygiene measures for maintaining healthy teeth and gums. Explore brushing techniques, flossing, and essential habits for excellent dental care.
What is Oral Hygiene and How to Maintain a Healthy Smile?Discover the importance of oral hygiene and how to maintain a healthy smile. Learn about brushing, flossing, and other key dental care tips to prevent plaque, cavities, and gum disease. Follow these steps for a cleaner, healthier mouth.
Can You Charge Residents for Oral Hygiene Care in U.S. Long-Term Care Settings?Explore whether facilities can charge residents for oral hygiene care in U.S. long-term care settings, find out regulations, best practices and how to manage this in your senior care facility—visit Family Dentistry Online for expert support.
The Sequence of Oral Hygiene in Japan: A Comprehensive GuideDiscover the unique sequence of oral hygiene in Japan and how the Japanese maintain optimal dental health. Learn the practices, routines, and techniques for proper oral care in Japan.
How to Assess for Oral Cancer in Dental Hygiene ExamsLearn how to assess for oral cancer during dental hygiene visits, including symptoms, screening techniques, and risk prevention to protect your oral health.
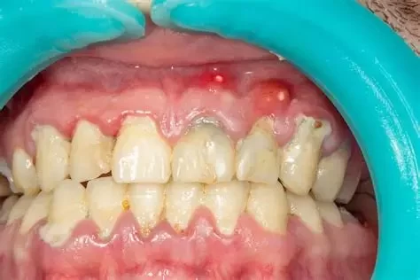
Can Bad Oral Hygiene Cause Mouth Sores? Understanding the Link and PreventionLearn how bad oral hygiene can lead to mouth sores, the causes behind them, and effective prevention strategies. Discover expert tips on maintaining oral health to avoid painful mouth sores.
Can Bad Hygiene Cause Oral Thrush? Understanding the LinkDiscover how bad hygiene can lead to oral thrush, its symptoms, causes, and the best ways to prevent and treat this common mouth infection.
Categories
Popular Dental Clinics
Above & Beyond Dentistry & Implants4.0 (540 review)
Thai & Kiourtsis Orthodontics5.0 (66 review)
Joy Tucker Trigo DDS INC4.0 (17 review)
Dr. Mohamed Hassan, Smiley Periodontics & Dental Implants4.0 (206 review)
Kenneth W. Berger, DDS5.0 (79 review)
Aspen Dental - Springfield, MO4.0 (563 review) Top Dental Blog Posts
Most Searched Dental Clinics
Hot Blog Topics
The Importance of Oral Health Education During Pregnancy for a Healthy Pregnancy
Best Tips for Brushing Your Teeth Properly for Healthy Gums: Essential Techniques for Oral Health
Why Skipping Dental Checkups Can Lead to Bigger Oral Health Problems
Advantages of Porcelain Dental Restorations
How Can Diabetes Cause Tooth and Gum Problems? Preventing and Managing Oral Health Issues
Healthy Habits for Promoting Good Oral Health and Hygiene: Tips for a Healthy Smile 
