
Why Do People Have Poor Oral Hygiene?
1. The Importance of Oral Hygiene
Good oral hygiene is essential for maintaining healthy teeth and gums. It involves brushing and flossing your teeth regularly, visiting the dentist for checkups, and making sure your diet supports oral health. However, many people fail to maintain good oral hygiene, which can lead to cavities, gum disease, bad breath, and even tooth loss. Understanding the reasons behind poor oral hygiene can help individuals make better choices for their dental health.
2. Common Causes of Poor Oral Hygiene
2.1 Lack of Time and Convenience
One of the main reasons people neglect their oral hygiene is a lack of time. In today’s fast-paced world, many individuals feel too busy to dedicate time to brushing and flossing their teeth. Whether it's due to work, school, or family commitments, it can be difficult to find time in the day to focus on personal care. As a result, people may skip brushing, brushing too quickly, or forget to floss altogether. Convenience also plays a role; some individuals may not have easy access to dental care products or professional dental services, leading to neglect.
2.2 Lack of Knowledge and Awareness
Some people may not fully understand the importance of oral hygiene. They may not realize that poor oral health can affect more than just their teeth—it can lead to serious health problems, including heart disease and diabetes. Without education on proper dental care, individuals may not be aware of the right techniques for brushing and flossing, or the need to schedule regular dental visits. As a result, they may not take their oral hygiene seriously and can develop harmful habits that lead to poor dental health.
2.3 Fear of the Dentist
Dental anxiety is a common issue that prevents many people from visiting the dentist regularly. Fear of pain, discomfort, or the potential costs associated with dental procedures can cause individuals to avoid appointments altogether. This avoidance leads to a lack of preventive care, which could have caught dental issues early on. When problems do arise, they may be more severe due to the lack of routine dental checkups, making it even harder for individuals to maintain good oral hygiene at home.
2.4 Unhealthy Diet
Diet plays a critical role in oral health. Eating sugary or acidic foods, such as candy, soda, and citrus fruits, can lead to tooth decay and gum disease. These foods and drinks promote the growth of harmful bacteria in the mouth, which can weaken tooth enamel and cause plaque buildup. Unfortunately, many people indulge in sugary snacks and beverages without considering the impact on their oral hygiene. A poor diet can significantly contribute to poor oral health and make it more challenging to maintain good hygiene habits.
2.5 Socioeconomic Factors
In some cases, socioeconomic factors can contribute to poor oral hygiene. People who face financial difficulties may not have the resources to purchase quality dental care products or pay for professional dental visits. Without access to affordable dental care, individuals may not receive the treatment or education necessary to maintain proper oral hygiene. This lack of resources can perpetuate poor dental health and prevent individuals from seeking the necessary care to address oral issues.
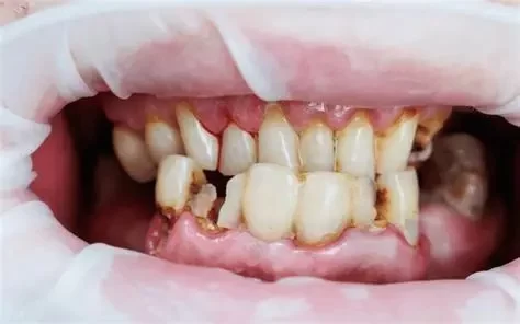
3. Consequences of Poor Oral Hygiene
Neglecting oral hygiene can lead to a range of dental and health problems. The most immediate effects are plaque buildup, cavities, and gum disease. These conditions can progress to more severe problems such as tooth loss, infections, and bone deterioration. Moreover, poor oral hygiene can affect overall health, contributing to systemic conditions such as heart disease, diabetes, and respiratory infections. The connection between oral health and overall well-being underscores the importance of proper dental care.
4. Addressing Poor Oral Hygiene
There are several ways to address poor oral hygiene and improve dental health. The first step is committing to a daily routine of brushing and flossing. Brushing your teeth twice a day with fluoride toothpaste and flossing at least once a day can help prevent plaque buildup and protect your gums. Regular visits to the dentist for professional cleanings and checkups are also essential for early detection of any dental issues. If you’re afraid of the dentist, there are strategies available to reduce anxiety, such as sedation dentistry or finding a dentist who specializes in treating anxious patients.
4.1 Improving Diet and Lifestyle
To maintain healthy teeth, it’s important to adopt a diet rich in fruits, vegetables, and whole grains while limiting sugary snacks and drinks. Drinking water throughout the day helps rinse away food particles and prevent the buildup of plaque. Additionally, avoiding tobacco products can significantly improve your oral health, as smoking is linked to gum disease and oral cancer.
4.2 Educating Yourself and Others
Education is key to improving oral hygiene habits. Whether it’s through reading articles, attending dental health workshops, or consulting with a dentist, learning about the proper techniques for brushing, flossing, and overall dental care can make a significant difference. Parents should also educate their children about the importance of oral hygiene from a young age to establish lifelong habits that will promote healthy teeth and gums.
5. Real-Life Story: Overcoming Poor Oral Hygiene
Take the case of Jason, a 35-year-old man who struggled with poor oral hygiene throughout his life. Due to a combination of fear of the dentist and a busy schedule, Jason neglected his oral care for many years. As a result, he developed cavities and gum disease, which eventually led to tooth loss. However, after attending a dental health seminar and realizing the long-term consequences of poor oral hygiene, he made a commitment to change. Jason began brushing and flossing regularly, and he made dental checkups a priority. With the help of his dentist, he underwent treatments to restore his smile and has since maintained excellent oral hygiene habits. Jason’s story highlights how a lack of knowledge and fear can lead to poor oral health, but with education and proper care, it’s possible to turn things around and restore dental health.
6. Conclusion
Improving oral hygiene is an ongoing process that requires commitment, education, and access to resources. By understanding the reasons behind poor oral hygiene and taking steps to address them, individuals can improve their dental health and overall well-being. Regular brushing, flossing, a healthy diet, and visits to the dentist are all essential components of maintaining good oral hygiene. With the right approach, anyone can achieve a healthier, brighter smile and prevent the many negative consequences of poor oral care.







Red Oak Dentistry: Dr. Michael King4.0 (74 review)
Train Station Dental5.0 (1082 review)
Crossroads Pediatric Dentistry0.0 (0 review)
Discover Dental - Pediatric Dentistry5.0 (1 review)
Jody B Vance, DDS, MS, PC4.0 (119 review)
Song Dental Wellness5.0 (43 review)
The Importance of Oral Health Education During Pregnancy for a Healthy Pregnancy
Best Tips for Brushing Your Teeth Properly for Healthy Gums: Essential Techniques for Oral Health
Why Skipping Dental Checkups Can Lead to Bigger Oral Health Problems
Advantages of Porcelain Dental Restorations
How Can Diabetes Cause Tooth and Gum Problems? Preventing and Managing Oral Health Issues
Healthy Habits for Promoting Good Oral Health and Hygiene: Tips for a Healthy Smile