Dr. David A. Dixon, DDS Introduce
Dr. David A. Dixon, DDS is a trusted family-friendly dentist located at 1645 Holt Rd, Columbus, OH 43228. Known for providing high-quality dental care with a focus on patient comfort, Dr. Dixon's establishment offers a wide range of services to meet the oral health needs of individuals and families in the local community.
With flexible hours Monday through Friday, including extended hours on Tuesdays, Dr. Dixon ensures that patients can easily access dental care without compromising their schedule. The practice emphasizes creating a welcoming environment where patients feel at ease, whether it's for a routine check-up or more complex treatments.
- Family-Friendly Atmosphere: Designed with families in mind, the clinic offers a comfortable and inviting space for patients of all ages.
- Comprehensive Services: From cleanings and exams to restorative and cosmetic dentistry, Dr. Dixon provides a full range of dental services tailored to individual needs.
- Convenient Location: Situated in Columbus, OH, the practice is easily accessible for local residents seeking reliable dental care.
Dr. David A. Dixon, DDS stands out as a point of interest for health and wellness in the area, offering professional care with a personal touch. Patients appreciate the attention to detail and dedication to their oral health, making it a preferred choice for many in the community.
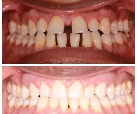
Dr. David A. Dixon, DDS Photos




Dr. David A. Dixon, DDS Location
Dr. David A. Dixon, DDS
1645 Holt Rd, Columbus, OH 43228, USA
Dr. David A. Dixon, DDS
1645 Holt Rd
Columbus Family Dental Care
1645 Holt Rd
Galloway Smiles: Joshua M. Halderman, DDS
1101 Norton Rd
Westview Dental Center and Fastbracesu00ae
4206 Westview Center Plaza
Monfredi Family Dental: Monica Monfredi DDS
5610 Hall Rd
Comfort Dental
4089 W Broad St
ALPHA DENTAL
4770 W Broad St
Prairie Dental Excellence
4998 W Broad St # 201
Norton Family Dental
17 Norton Rd
Wade Orthodontics Columbus West
5249 W Broad St
Murray Hill Dental
98 N Murray Hill Rd
West Broad Dental
5688-B W Broad St
Santho Richard N DDS
3027 Sullivant Ave
Dr. David A. Dixon, DDS Reviews
Nearby dental clinics

1645 Holt Rd, Columbus, OH 43228, USA

1101 Norton Rd, Galloway, OH 43119, USA

4206 Westview Center Plaza, Columbus, OH 43228, USA

5610 Hall Rd, Galloway, OH 43119, USA

4089 W Broad St, Columbus, OH 43228, USA

4770 W Broad St, Columbus, OH 43228, USA

4998 W Broad St # 201, Columbus, OH 43228, USA

17 Norton Rd, Columbus, OH 43228, USA

5249 W Broad St, Columbus, OH 43228, USA

98 N Murray Hill Rd, Columbus, OH 43228, USA

5688-B W Broad St, Galloway, OH 43119, USA

3027 Sullivant Ave, Columbus, OH 43204, USA
Categories
Popular Dental Clinics






Top Dental Blog Posts
Most Searched Dental Clinics
Hot Blog Topics





