Bay Area Prosthodontics Introduce
bay area prosthodontics
Bay Area Prosthodontics is located at 1691 El Camino Real STE 200, Palo Alto, CA 94306. They can be reached at (650) 324-1292 or +1 650-324-1292. This practice specializes in prosthodontic services, serving the Palo Alto community.
Based on the available customer review, Bay Area Prosthodontics is described as an excellent prosthodontist to work with. This indicates a high level of expertise and professionalism in the field of prosthodontics.
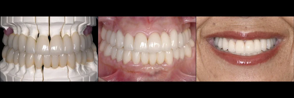
Prosthodontics is a specialized area of dentistry focusing on the restoration and replacement of missing or damaged teeth and oral structures. This includes services such as dental implants, crowns, bridges, dentures, and other complex dental restorations.
Due to the limited number of reviews, detailed information regarding the practice's specific environment, services, and additional features is not available. However, the existing review highlights the practice's excellence in prosthodontics.
Key feature based on the review:
- Excellent prosthodontist
Potential patients are encouraged to contact the office directly for more information regarding the specific prosthodontic services offered and to inquire about the office environment.
Bay Area Prosthodontics Photos


Bay Area Prosthodontics Location
Bay Area Prosthodontics
1691 El Camino Real STE 200, Palo Alto, CA 94306, USA
Bay Area Prosthodontics
1691 El Camino Real STE 200
Beckstead Dental Group
1691 El Camino Real STE 300
Javidan Endodontics
420 Cambridge Ave
Dr. Amin Samadian Cosmetic & Advanced Dentistry | Dion Health Palo Alto
2290 Birch St Suite C
Blue Turtle Dental
2290 Birch St Ste A
Evergreen Park Dental
2290 Birch St suite b
Chris Wong DDS
409 Cambridge Ave
Dr. S. Brian Liu, DDS, MS.
2345 Yale St fl 2b
Mid Peninsula Orthodontics: Dr Stacey Quo
965 High St
Peninsula Pediatric Dentistry
882a Emerson St
Ala Din DDS
905 Middlefield Rd Ste. B
Palo Alto Orthodontics
905 Middlefield Rd ste a
Roshan Emam, DDS
850 Middlefield Rd Suite 8
Bay Area Prosthodontics Reviews
Nearby dental clinics

1691 El Camino Real STE 300, Palo Alto, CA 94306, USA

420 Cambridge Ave, Palo Alto, CA 94306, USA

2290 Birch St Suite C, Palo Alto, CA 94306, USA

2290 Birch St Ste A, Palo Alto, CA 94306, USA

2290 Birch St suite b, Palo Alto, CA 94306, USA

409 Cambridge Ave, Palo Alto, CA 94306, USA

2345 Yale St fl 2b, Palo Alto, CA 94306, USA

965 High St, Palo Alto, CA 94301, USA

882a Emerson St, Palo Alto, CA 94301, USA

905 Middlefield Rd Ste. B, Palo Alto, CA 94301, USA

905 Middlefield Rd ste a, Palo Alto, CA 94301, USA

850 Middlefield Rd Suite 8, Palo Alto, CA 94301, USA
Categories
Popular Dental Clinics






Top Dental Blog Posts
Most Searched Dental Clinics
Hot Blog Topics





